隨著現代飛機和武器裝備對材料性能要求的不斷提升, 傳統鋼材已經無法滿足其使用要求。 鈦合金具有高的比強度、優良的耐蝕性、良好的高溫性能等一系列優點, 已被越來越多的應用于航空航天、武器裝備等領域[1-3] 。

TB6鈦合金(Ti-10V-2Fe-3Al)是一種典型的近β型鈦合金[4,5] , 具有高強度、高斷裂韌性、深淬透性和強抗應力腐蝕能力等特點, 在航空工業中得到廣泛應用。 此外, 該合金還具有相變點低、鍛造溫度低和流動應力低等優點, 相比其他牌號的高強鈦合金更容易鍛造成形[6 -9] , 更適宜采用等溫鍛造。 經鍛造后的TB6鈦合金在制成零件前, 需要根據零件性能要求進行固溶和時效處理。 實際生產中, 鈦合 金鍛件鍛造完成后需要空冷至室溫再進行固溶和時效, 而固溶溫度和等溫鍛造的鍛造溫度相近, 因此,本研究將等溫鍛造完成后的TB6鈦合金直接進行水淬+時效處理, 并與鍛造完成后空冷至室溫再進行固溶+ 時效處理的鍛件性能進行對比, 研究等溫鍛造后熱處理工藝對TB6鈦合金組織與性能的影響,以期為后續熱處理工藝改進提供參考。
1、實驗
實驗材料取自北京航空材料研究院鈦合金研究所熔煉的φ330mmTB6鈦合金鑄錠。 該鑄錠以海綿鈦和中間合金為原料, 經過3次真空自耗熔煉而成,其β相變點為790℃, 化學成分見表1。

采用3000T快鍛機對鑄錠進行開坯、改鍛, 最后鍛造成?320mm的棒材。 在同一根棒材上截取2件尺寸為75mm×160mm×180mm的方形棒材(軸向為鍛壓方向)。 圖1 為TB6鈦合金方形棒材的原始組織。 可以看出, 該棒材組織的β基體上均勻分布著等軸初生α相, 為等軸組織。

將TB6鈦合金棒材和模具加熱至Tβ-30 ℃,在YH-1000 等溫鍛壓機上以一定速度進行等溫模鍛,2支棒材的鍛壓變形量均為50%。 第1支棒材鍛造完成后直接水淬, 在水中靜置30min, 然后進行時效處理, 時效溫度在510 ~560℃, 保溫8h后空冷,該鍛件標記為1#; 第2 支棒材鍛造完成后空冷, 然后進行固溶和時效處理, 固溶溫度為Tβ-30 ℃, 保溫2h后水淬, 時效制度與1# 鍛件相同, 該鍛件標記為2#。 分別從水淬后的1#鍛件和空冷后的2#鍛件上截取金相試樣, 采用Camscan ̄3100 掃描電鏡對顯微組織進行觀察對比; 2支鍛件時效后也分別截取金相試樣, 分析熱處理工藝對組織的影響。 采用英斯特朗電子萬能試驗機分別對熱處理后的1#和2# 鍛件橫、縱向拉伸性能及平面應變斷裂韌度進行測試。
2、結果與分析
2.1 顯微組織分析
方形棒材的等溫鍛造變形過程等同于棒材的單向壓縮過程, 棒材變形過程中主要有3個變形區[10] ,分別為變形死區、大變形區和自由變形區, 如圖2所示。 與上模、下模接觸的部分為Ⅰ區, 該區域金屬變形時與模具產生橫向摩擦, 摩擦力阻礙金屬的橫向流動, 該區變形量小, 屬于變形死區, 其組織與原始組織差別不大; 棒材的心部為Ⅱ區, 金屬受壓過程, 心部的金屬流動受上模、下模約束, 所以金屬橫向向外擴展, 橫截面面積增大, 材料變形量大, 有利于組織的演變, 該區屬于大變形區; 棒材的外緣部分為Ⅲ區, 外緣金屬受到心部金屬的向外擠壓力, 橫向向外擴展變形產生鼓肚, 變形量介于變形死區和大變形區之間, 該區屬于自由變形區。

為便于組織觀察, 所有金相試樣均取自自由變形區。
圖3 為TB6鈦合金方棒鍛后水淬及鍛后空冷態的顯微組織。 從圖3 可知, 1# 鍛件鍛后直接水淬,其組織中晶粒存在明顯的邊界, β基體上沒有形成感生α相。 這主要是因為1# 鍛件在等溫鍛造過程產生大量的位錯, 生成高的畸變能, 并且在變形過程中發生動態再結晶, 使晶粒得到細化。 雖然位錯有利于合金元素擴散, 但水淬快速冷卻致使合金元素來不及進行重新分布, 所以β基體上沒有感生α相析出。

2#鍛件鍛后空冷, β基體上有感生α相形成, 晶粒沒有明顯的邊界。 這主要是由于空冷冷卻速度較慢,合金元素有足夠的時間進行擴散, 所以β基體上析出了感生α相。
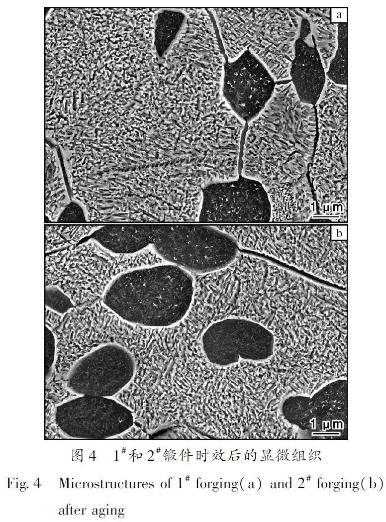
圖4 為1# 和2# 鍛件時效后的顯微組織。 從圖4可知, 1#鍛件經時效后β基體上析出混亂交織的次生α相, 2#鍛件經時效后析出的次生α相具有明顯的方向性。

2.2 力學性能分析
表2 為TB6鈦合金棒經熱處理后的橫、縱向拉伸性能。 由表2數據可知, 經不同工藝熱處理后的1#和2#鍛件的拉伸性能差異不大, 都屬于高強度級別, 其中縱向抗拉強度都為1200MPa級別, 橫向抗拉強度都為1150MPa 級別, 塑性水平相當。
材料的力學性能由顯微組織決定。 TB6鈦合金方棒經不同工藝熱處理后得到的拉伸力學性能相當, 這主要是因為其組織中初生α相的含量和尺寸、次生α相的含量和尺寸基本相同。

表3 為1#和2#鍛件時效后的平面應變斷裂韌度。
由表3 可知, 1#鍛件的平面應變斷裂韌度明顯高于2#鍛件, 這主要是由于熱處理工藝不同析出相的形 態和分布不同所致。 1#鍛件鍛后水淬過程有形變熱處理的作用, 形變熱處理能夠細化微觀組織,且水 淬時的快速冷卻能夠提高過冷度, 增加形核的質點, 同時快速冷卻可抑制變形時產生的畸變能釋放,為后續的時效相變提供驅動力, 為馬氏體向條 狀α相轉變提供大量的結晶核心, 改變α相的析出機制, 從而得到混亂交織的次生α相[11] 。 2# 鍛件鍛后空冷, 冷卻速度緩慢, 材料有足夠的時間對產生的畸變能進行釋放, 因此β基體上析出短棒狀的感生α相, 并在后續的時效過程析出次生α相。 析出的感生α相和次生α相生長時都具有擇優取向,排布具有一定的方向性。 平面應變斷裂韌度值與析出相的形貌和排布方式有密切的關系, 析出相混亂交織, 能夠阻礙裂紋的擴展, 材料斷裂需要消耗更多的能量, 所以1#鍛件的平面應變斷裂韌度高于2#鍛件。

綜上所述, TB6鈦合金等溫鍛造后, 采用直接水淬+ 時效的工藝制度替代空冷至室溫再進行固溶+時效的工藝制度, 不僅能夠縮短熱處理周期, 而且能夠提高合金的斷裂韌性。
3、結論
(1)TB6鈦合金等溫鍛后空冷, β基體上有感生α相生成; 等溫鍛后水淬, β基體上無感生α相生成。
(2) TB6鈦合金等溫鍛后直接水淬+ 時效析出的次生α相比鍛后空冷至室溫再進行固溶+ 時效析出的次生α相更加混亂, 具有更高的平面應變斷裂韌度。
(3)TB6鈦合金等溫鍛后水淬+ 時效, 其強度和塑性與等溫鍛后空冷再經固溶+ 時效的水平相當。
可用等溫鍛造后直接水淬+ 時效的工藝制度替代空冷至室溫再進行固溶+ 時效的工藝制度。
參考文獻
[1] Boyer R R. An overview on the use of titanium in the aero ̄space industry[J]. Materials science and Engineering A,1996, 213(1-2): 103 -114.
[2] 侯日立, 張元華, 盧志敏. 飛機鈦合金燒傷及檢測方法研究[J]. 無損檢測, 2003, 25(11): 575 -578.
[3] 葉勇, 王金彥. 鈦合金的應用現狀及加工技術發展概況[J]. 材料導報, 2012, 26(S1): 360 -363.
[4] 中國航空材料手冊編輯委員會. 中國航空材料手冊: 第4 卷鈦合金、銅合金[M]. 2 版. 北京: 中國標準出版社, 2002.
[5] 徐祖耀, 黃伯云. 中國材料工程大典[M]. 北京: 化學工業出版社, 2005.
[6] SAE International. Titanium Alloy, Forgings 10V ̄2Fe ̄3Al,Consumable Electrode Melted, Single ̄Step Solution HeatTreated and Overage 160 ksi(1103MPa) Tensile Strength:AMS4986E ̄2015 [ S]. Warrendale: SAE International,2015.
[7] 黃利軍, 黃旭, 齊立春, 等. Ti ̄1023 鈦合金淬透深度與拉伸斷口分析[J]. 稀有金屬材料與工程, 2008, 37(S3): 382 -385.
[8] 雷力明, 黃旭, 黃利軍, 等. 鑄態TB6鈦合金熱變形行為及本構關系[J]. 中國有色金屬學報, 2010, 20(S1):377 -380.
[9] 邱偉, 魯世強, 歐陽德來, 等. 鍛態TB6鈦合金熱變形行為及組織演變[J]. 塑性工程學報, 2010, 17(3): 38-43.
[10] 葉文君, 脫祥明, 王世洪. β21S 鈦合金熱壓縮變形行為[J]. 稀有金屬, 2002, 26(1): 23 -27.
[11] 王歡, 趙永慶, 辛社偉, 等. 高強韌鈦合金熱加工技術與顯微組織[J]. 航空材料學報, 2018, 38 (4): 56-63.
相關鏈接
- 2018-03-25 航空鈦合金材料體系及鈦合金化特點

